DR. L H HIRANANDANI HOSPITAL SUCCESSFULLY TREATED RARE EPILEPSY CASE THROUGH NEUROSURGERY
Mumbai (Maharashtra) (India), July 15 : Dr L H Hiranandini Hospital is proud to announce the successful treatment of a rare epilepsy case with the advanced team of neurosurgeons which highlighted the hospital’s commitment to excellent medical care and innovative treatments.
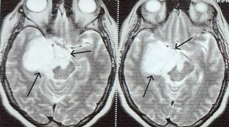
After an epidermoid tumor was found underneath a 45-year-old dessert chef’s brain through Magnetic resonance imaging who had recurrent seizures sought assistance from Dr. L H Hiranandani Hospital. The tumor had enveloped important nerves that help in vision and eye movement causing serious impairment of her sight and increasing the number of seizures.
Epidermoid tumors are non- cancerous, usually slow-growing masses occurring as a result of errors in cell migration during embryonic stage of development. These tumours contain a thick yellow substance called keratin and may compress neighboring areas of the brain leading to severe neurological symptoms.
Initially, she tried various other medicinal options but they failed miserably. Her condition was becoming worse while high doses of antiseizure medications made her groggy and changed some elements of her behavior. Often, Epilepsy from such pathologies are intractable, making surgery inevitable.
In the care of Dr. Khursheed Ansari, a neurosurgeon at Dr L H Hiranandani Hospital , the patient went through craniotomy and tumor excision surgery. Though she was scared of undergoing an operation, she was left with no choice. The medical team led by Dr.Ansari removed her tumor without any complications. She experienced smooth recovery and discharged home only after four days.
From daily seizures to no seizure after surgery, goes without saying that successful localization and timely treatment of epilepsy cases can be life changing experience. This became possible due to exceptional skills and devotion of doctors at Dr L H Hiranandani Hospital, Powai, Mumbai . This case also highlights another important point: this hospital has excellent advanced services in brain surgery such highest end robotic microscope – Zeiss Kinevo, as well as a great patient-oriented approach.
“My team’s success in handling such a rare complex condition fills us with pride,” says Dr.Khursheed Ansari, Full-Time Consultant Neurosurgeon at Dr L.H.Hiranandani Hospital. “The incredible rate of improvement shown by our involuntary patient bears witness to how great our entire surgical consultants are when it comes to professionalism.” We feel privileged knowing that we played some role towards helping her recover from illness and improving her way of life for better.
About Dr. L H Hiranandani Hospital
Dr. L H Hiranandani Hospital is one of the top healthcare facilities in Mumbai’s Powai, known for the highest level of medical services and modern equipment available there. The hospital aims to provide comprehensive health care and groundbreaking treatments and guarantees that every patient receives utmost attention and protection.
If you have any objection to this press release content, kindly contact pr.error.rectification@gmail.com to notify us. We will respond and rectify the situation in the next 24 hours.
The post DR. L H HIRANANDANI HOSPITAL SUCCESSFULLY TREATED RARE EPILEPSY CASE THROUGH NEUROSURGERY appeared first on OUR INDIA.
